首页 免疫学拾遗 免疫学拾遗-第20章:固有免疫的防御作用

免疫学拾遗-第20章:固有免疫的防御作用

导 读 能够突破人体物理屏障的感染会激活固有免疫系统的分子屏障,其中包括干扰素系统和补体系统。 固有免疫系统由一系列非特异性防御组成,可以随时抵抗感染。固有免疫系统在许多方面与适应…


导 读

能够突破人体物理屏障的感染会激活固有免疫系统的分子屏障,其中包括干扰素系统和补体系统。

固有免疫系统由一系列非特异性防御组成,可以随时抵抗感染。固有免疫系统在许多方面与适应性免疫系统有所不同(Table 20.1)。接下来的四章将讨论固有免疫系统的运作方式以及与适应性免疫系统相互作用的方式。固有免疫系统具有两个关键作用:(1)它使用模式识别受体(PRRs)识别与病原体相关的分子模式(PAMP),并对入侵的病原体做出快速反应;(2)它还可激活整个身体的免疫系统的其他部分和组织。为此,固有免疫系统会分泌细胞因子和其他几种炎症介质,这些细胞因子和炎症介质被称为危险信号。


Table 20.1 先天免疫系统与获得性免疫系统的差异 


感染障碍

皮肤、呼吸道和胃肠道已进化为特殊的可抵抗感染的屏障。

皮肤

尽管许多生物都生活在皮肤表面,但是角质细胞的致密外层阻止了这些生物渗透到更深层的组织中。较深层的活角质形成细胞是固有免疫系统中的活性成分。如果这些角质形成细胞被破坏,它们会分泌细胞因子,例如白介素8(IL-8)和肿瘤坏死因子(TNF),这些细胞因子也是紫外线照射后发生炎症反应的原因。

皮肤还包含朗格汉斯细胞,树突状细胞谱系的前哨细胞。暴露于微生物后,这些细胞将迁移至局部淋巴结,并向T细胞呈递抗原。

皮肤是固有免疫系统组成中的典型代表,它具有对刺激快速反应,激活适应性免疫反应的能力。

呼吸道

从固有免疫系统的角度来看,呼吸道可分为上段和下段。上呼吸道始于鼻子,止于细支气管,并受到粘膜纤毛的保护。杯状细胞分泌的粘液可形成一层覆盖呼吸道并捕获微生物的保护层。纤毛将粘液向口腔和鼻子推动,通过打喷嚏或咳嗽将其清除。患有一些些疾病的患者,如囊性纤维化中粘液分泌异常,纤毛在原发性纤毛运动不良症中的运动缺陷,会导致呼吸道感染的反复出现。

在下呼吸道,末端细支气管和肺泡中,纤毛和粘液层会阻碍氧气的扩散。这里的主要防御手段是由排列在肺泡(II型肺泡细胞)中专门的细胞分泌的表面活性剂。表面活性剂是蛋白质和磷脂的混合物,可防止肺泡在呼气时塌陷。表面活性剂含有病原体结合蛋白,是胶原凝集素家族的成员(Fig 20.1)。这些分子具有模式识别作用,具有可与微生物糖结合的球形凝集素样头部,以及与吞噬细胞或补体结合的长胶原样尾巴。此外,呼吸道的两个部分也都依赖免疫球蛋白,如抗体缺乏症患者的呼吸道感染频率明显上升。

呼吸道黏膜也会对适应性免疫系统的信号作出反应。正如第16章所讲,T辅助细胞17(TH17)在响应细胞外病原体刺激时会分泌IL-17,IL-17可刺激呼吸道上皮细胞发生反应。另一方面,在TH2反应期间,IL-4还会刺激杯状细胞的增生和粘液分泌增加以及气道周围平滑肌的肥大。IL-4的这些作用是为了对付蠕虫等大型病原体进化而来的,但在一些国家,它们更常见于过敏。


Fig 20.1  胶原凝集素家族包括表面活性蛋白和甘露聚糖结合凝集素,两者都是重要的模式识别受体

消化道

胃的低pH值是抵御肠道感染的主要防御手段之一。例如,无法分泌胃酸的患者感染沙门氏菌的风险明显提升。肠道被数以万亿计的细菌定居,这些细菌通常是无害的,并抑制病原菌的生长。肠道上皮会分泌转化生长因子β(TGF-β),不是防御病原细菌,而是通过TGF-β诱导T调节细胞(Tregs)的分化和聚集,这有助于宿主免疫系统耐受无害共生细菌的存在。


固有免疫系统中的胞外分子

固有免疫系统依赖于可以对感染做出快速反应的蛋白质家族。I型干扰素(IFN)在局部感染时产生,并可直接抑制病原体的生长。胶原凝集素,补体和C反应蛋白(CRP)其实是组成性产生的蛋白,虽然在感染过程中它们的含量较高,并且会结合到病原体上。

干扰素

干扰素之所以被称为干扰素,是因为用干扰素处理的细胞对病毒的感染具有抵抗力。换句话说,干扰素会干扰病毒复制。I型IFN(IFN-α和IFN-β)的抗病毒作用最强,而人类唯一的II型干扰素IFN-γ的抗病毒作用最弱。干扰素-γ可由TH1细胞产生,在激活获得性免疫反应方面比在抑制病毒复制方面更有效(第16章)

型干扰素由多种细胞分泌,例如肠壁上皮细胞。许多细胞会响应非特异性损伤(例如创伤或放射损伤)而产生IFN。但是,I型IFN最有效的生产者是一种被称为浆细胞样树突状细胞的APC,它会在感染后分泌IFN。这些专门的APC(第12章)会响应双链RNA而分泌I型IFN,并使用称为Toll样受体3的PRR对其进行识别(第19章)。双链RNA不存在于哺乳动物细胞中,而是在细胞的胞内感染过程中由病毒产生的。双链RNA是PAMP的一个很好的例子。它的存在表明正在发生病毒感染,但并不表明病毒的确切类型。Fig 20.2中展示了I型干扰素的多种作用。

• 型干扰素通过激活两条细胞内酶途径来抑制病毒复制,这两条酶途径可降解病毒基因组并抑制病毒信使RNA(mRNA)的转录。型IFN仅作用于邻近细胞,但是可以有效抑制病毒复制。这种短程效应被描述为旁分泌作用。

型干扰素可激活抗原提呈相关转运体(TAP),肽转运蛋白和蛋白酶体相关的转运蛋白的活性(第10章),还可增加MHC I的表达(第8章),从而增加了多肽与MHC I 的结合,增强CD8+T细胞的作用。此外, I 型干扰素还可促进TH1细胞的发育(第15章)以及激活自然杀伤(NK)细胞(第21章)。

在病毒感染的数小时内,I 型干扰素会被诱导分泌并抑制病毒复制,促使NK细胞破坏被感染的细胞。尽管IFN改善了MHC I上的抗原呈递,但初始T细胞和抗体反应可能需要长达一周的时间才能发展起来。因此,干扰素的快速反应,可在启动适应性免疫反应前发挥抗感染的作用。

重组IFN-α已经作为一种生物制药与更常规的抗病毒药物一起用作治疗病毒性肝炎。IFN-α的疗效主要是由其抗病毒作用介导,部分是通过刺激适应性免疫系统。重组IFN可在哺乳动物细胞中大量合成。与传统的抗病毒药物不同,IFN-α必须通过注射给药,会产生一些副作用。由于它是一种蛋白质分子,因此最终可以通过中和抗体来终止反应。第36章讨论了生物药物的一些临床副作用和生产问题。

IFN-α也已用于治疗恶性肿瘤,最常见的是慢性粒细胞白血病。尽管IFN似乎可诱导恶性细胞凋亡或成熟,但确切的作用方式尚不清楚。

在感染过程中,巨噬细胞和其他先天免疫系统细胞会分泌其他细胞因子,例如IL-1,IL-6和TNF。这些细胞因子可激活特异性免疫系统并引起急性期反应(见Box 20.1)。


Fig 20.2  干扰素包括α、β和γ三种形式


补体

尽管补体成分数量较多,但整个系统是简单易懂的。九个基本补体成分编号为C1-C9。当它们被激活时,补体被分为大片段和小片段。这些小片段称为C3a,C4a等。补体根据病原体种类的不同会有三种激活途径,三种途径都会激活关键成分C3,随后通过激活三种不同类型的效应子分子发挥作用(Fig 20.3)。

补体可以通过抗体和抗原之间的相互作用而被激活。补体之所以被命名为“补体”,是因为它可以促进抗体的作用,因为单独的抗体无法杀死大多数细菌,需要这些补体分子来一起发挥杀菌作用。


Fig 20.3 补体级联反应概述

激活补体

补体C3可以通过三种途径激活(Fig 20.4):(1)凝集素途径;(2)经典途径;(3)旁路途径。


Fig 20.4 C3的激活可以通过三种途径中的任何一种;MBL,甘露聚糖结合凝集素

凝集素途径

甘露聚糖结合凝集素(MBL)是一种胶原凝集素,能够通过其凝集素部分与细菌上存在的碳水化合物结合。尽管MBL自身没有酶活性,但在凝集素部分结合细菌后,MBL胶原样结构域可间接激活下一个补体成分C2和C4,它们可共同激活数百个C3分子。

经典途径

经典途径是最早发现的,该途径由抗体和抗原的免疫复合物触发。C1是起始蛋白,当足够的Fc部分足够接近时,它就能识别免疫球蛋白(Ig)分子的Fc部分。当抗原结合几个Ig分子时,最有可能发生这种情况。由于IgM具有五个Fc部分,因此特别容易与C1结合。C1也没有酶活性,但是与Fc结合后,它能够激活C2和C4,从而激活多个C3分子。

旁路途径

C3不是稳定的分子,并且不断地进行自发的低水平激活,这主要发生在细胞表面。正常细胞可表达阻止C3自发活化的表面补体抑制剂(见Fig 20.10)。病原体表面缺乏补体抑制剂,因此C3的自发激活可以持续进行。补体抑制剂基因发生突变的人会发展为非典型溶血尿毒症综合征。他们在内皮细胞和血小板表面上不受控制地激活了C3,导致体内形成了广泛的血栓。

补体系统的早期部分也可检测到由于坏死而死亡的细胞,这些细胞的死亡通常是继发于物理或代谢损伤。坏死导致的细胞死亡是一个不受控制的过程,死亡的细胞似乎会释放几种能够激活补体级联的分子。在这种情况下,任何类型的组织损伤都会导致某些炎症。另一种类型的细胞死亡-程序性细胞死亡,也被称为凋亡(第22章)。凋亡过程受到严格控制,不会像坏死一样激活补体。因此,细胞凋亡过程一般不会引起炎症反应。

补体激活途径概述

旁路途径可激活任何缺乏补体抑制剂的细胞表面的补体,而凝集素和经典途径可将补体激活聚焦于已被MBL或抗体结合的分子。

补体效应放大步骤

每种补体成分始终存在于血液中,一旦激活,便能够激活多个下游成分。补体激活剂对少量刺激物(例如很少的细菌)也较为敏感,随后的扩增步骤可确保产生强烈的反应,但通常是局部反应。这是通过整个补体级联:C2,C3,C4,C5和C6的补体级联反应获得的。这些分子被裂解成小片段和大片段而被激活(Fig 20.5)。大片段本身可能成为酶,并且可以裂解并激活级联中的下一个分子。这些片段也可以与抑制扩增步骤的抑制剂相互作用。


Fig 20.5 分裂后,补体成分C2至C6的片段获得酶活性并激活下游成分

补体效应器

补体的激活会产生许多效应分子:如过敏毒素,可结合和激活补体受体的补体片段,以及膜攻击复合物(MAC)。

过敏毒素

补体组分C3和C5的活化可产生小片段C3a和C5a。由于它们的分子量比较低,因此这些肽可从补体激活部位扩散开来,并产生如Fig 20.6所示的效果。低分子量的C2a肽裂解后可以产生小激肽,可使内皮细胞显著收缩,从而增加血管通透性。


Fig 20.6 过敏毒素的作用

补体受体

•几种补体受体(CRs)存在于多种细胞上;这些受体结合早期补体成分(MBL、C1以及激活的C4和C3)。CRs具有以下功能(Fig 20.7):

调理作用。这是对细菌和其他细胞表面进行修饰使其更加容易被吞噬的过程,有助于将病原体与吞噬细胞结合并刺激吞噬作用的分子被称为调理素。补体激活过程中会产生大量活化的C3,它是最重要的调理素,可与一系列吞噬细胞上存在的三种不同受体结合。当IgG与吞噬细胞上的Fc受体结合时,它也可以作为调理素。由于吞噬细胞不具有IgM的Fc受体,因此当IgM反应占主导时,补体介导的调理作用在初次抗体应答期间尤为重要。

B细胞激活。C3与B细胞上的CR2受体的结合提供了共刺激作用,可使B细胞活化的阈值降低1000倍(Table 20.1第11章)。因此,补体与抗原的结合可显著促进抗体的产生。值得注意的是,人类B细胞上的EBV受体和C3受体完全重叠,因此EB病毒可以结合CR2,从而借助CR2进入并感染B细胞(第34章)。

 免疫复合物清除。免疫复合物是抗原与抗体结合形成的不溶性物质,可以在组织或血液中形成。这些复合物会触发炎症,如果不及时清除它们,就会发生免疫复合物引起的疾病(第30章)。补体可通过两种方式帮助去除免疫复合物:

大型的不溶性复合物难以从组织中去除。大量活化的C3可破坏免疫复合物的骨架,使其溶解。溶解的免疫复合物中存在的C4和C3可以与红细胞上的补体受体CR1结合,从而将免疫复合物转运至富含吞噬细胞的器官,例如肝脏和脾脏。这些吞噬细胞可利用自身的补体和Fc受体,从红细胞中清除免疫复合物,然后吞噬并破坏免疫复合物。在此过程中红细胞不会受到伤害。

补体缺乏症患者极易患上由免疫复合物引起的疾病,例如系统性红斑狼疮(SLE, Box 20.2)。


Fig 20.7  补体受体。

膜攻击性复合物(MAC)

活化的C3激活补体组分C5至C9的级联反应,最终会产生MAC。C5和C6具有酶活性,可使组分C7,C8和C9嵌入靶细胞的质膜。一组10至16个C9分子即可形成一个环,该环在质膜上可形成孔(Fig 20.8)。这种孔可允许水和溶质自由通过膜,杀死细胞。MAC可直接攻击病原体,但在人类中似乎仅对防御奈瑟菌起到比较重要的作用(见Box 20.2)。Fig 20.9总结了补体如何参与细菌感染的反应。


Fig 20.8 在被攻击的细胞表面形成孔的C9分子环与穿孔素非常相似,穿孔素是一种由自然杀伤细胞产生的物质。


Fig 20.9 补体在处理细菌感染方面特别重要,与干扰素抑制病毒感染有一些相似之处。补体和干扰素都可以直接攻击病原体,并且各自在固有和适应性免疫反应中招募不同的细胞。

补体抑制因子

补体倾向于自发激活,特别是通过旁路途径发挥作用的时候。过度的补体激活是不可取的,因为它会导致炎症和广泛的细胞死亡。为了防止无意中激活补体,就有了补体抑制因子的存在。它们的活动范围如Fig 20.10所示。

补体抑制因子的缺乏会导致疾病的事实表明了这些抑制因子的重要性,在非典型溶血尿毒症综合征已经有所描述。在遗传性血管性水肿中,C1抑制因子的突变起到了关键的作用(见Box 20.3


Fig 20.10 补体抑制因子

BOX 20.1急性期响应

11岁女孩因12小时的腹痛和呕吐史深夜到急诊科就诊。经查,她的体温和脉搏正常(Fig 20.11),腹部唯一的迹象是右侧髂窝有一些触痛。主治医生安排进行一些血液测试,结果显示在Table 20.2中,他认为可能是阑尾炎。而女孩在过去的几个小时里已经吃过东西,全身麻醉剂是不安全的,因此病人在观察病房过夜。

第二天早上,她的体温和脉搏略有上升,护士要求外科医生对病人进行复查。腹部疼痛仍然是唯一的体征,但重复的血液测试显示中性粒细胞计数升高,C反应蛋白(CRP)升高,红细胞沉降率(ESR)升高。这些都是急性反应的特征,临床上常用来区分炎症和其他类型的临床问题。在这种情况下,急性期反应的出现使外科医生确信他需要做剖腹手术,在此期间,他发现并切除了发炎的阑尾,这个女孩在接下来的几天里康复了。

急性期反应是由巨噬细胞释放白细胞介素1(IL-1) 白细胞介素6(IL-6)和肿瘤坏死因子(TNF)触发的。这些因子都对下丘脑有直接的影响(Fig 20.12),可使体温升高,从而损害病原体的繁殖。这种作用是由这些细胞因子诱导下丘脑合成前列腺素所介导的。阿司匹林可以阻止前列腺素的合成,并可以预防发烧。IL-1、IL-6和TNF还可刺激肝脏产生一系列蛋白质:

固有免疫系统分子:C3、C4和CRP;

损伤限制蛋白:α1-抗胰蛋白酶、结合珠蛋白;

凝血因子:纤维蛋白原;

急性反应时产生的粒细胞集落刺激因子(G-CSF)导致骨髓中性粒细胞的产生迅速增加。急性期的细胞因子也有助于适应性免疫反应的普遍激活,从而导致多克隆免疫球蛋白的产生增加。

CRP是一种在肝脏中产生的蛋白质,它与肺炎球菌等细菌表面的磷脂结合。然后,CRP发挥调理素的作用,刺激吞噬作用的进行。CRP还可通过凝集素途径激活补体系统,在炎症过程中,由于TNF的作用,CRP的产生急剧增加,是炎症的一个特别好的指示物。例如,在急性炎症(如阑尾炎)中,CRP水平可升高达1000倍,切除阑尾后,CRP水平迅速下降。非感染性疾病也会使CRP升高,例如自身免疫性疾病类风湿性关节炎–它为监测疾病活动和治疗反应提供了一个很好的方法。

上述蛋白质合成的增加增加了血浆粘度,这反映在血沉的增加上。测量血沉是显示急性时相反应的最简单方法之一。在炎症反应中,血沉比CRP需要更长的时间才能变得异常。


Table 20.2 血液检测结果


Fig 20.11 这张图表显示了病人的生命体征。蓝色菱形代表脉搏,黄色三角形代表温度。


Fig 20.12 急性期反应对全身有广泛影响。CRP,C-反应蛋白;IL,白细胞介素;TNF,肿瘤坏死因子

BOX 20.2补体缺乏症

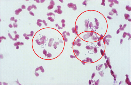
16岁男孩在急诊科出现严重头痛。他被发现发烧(发烧39.2℃;正常应低于37.0℃),并有明显的颈部僵硬。主治医生认为他可能患有脑膜炎,并要求进行血液培养和腰椎穿刺。脑脊液(CSF)正常应该是透明的,但在这种情况下,它是略微混浊的。脑脊液检查显示中性粒细胞数量显著增加,其中一些含有双球菌(Fig 20.13)。医生开始给病人静脉注射广谱抗生素,在接下来的几个小时里,男孩的病情有所好转。第二天,脑脊液样本培养证实感染了脑膜炎奈瑟菌。

第二天,当医生与病人的父母交谈时,他发现男孩的两个兄弟姐妹也感染了脑膜炎奈瑟氏菌。这种家族史是典型的遗传性补体缺乏症。进一步的检测证实患者和他的两个受影响的兄弟缺乏C8。

补体成分的缺乏会导致反复的细菌感染,部分原因是补体缺乏导致调理作用减弱,使细菌不能有效被吞噬,另外一部分原因是补体参与启动的抗体产生减少(Fig 20.14)。膜攻击分子(MAC)的缺失会导致感染奈瑟氏菌的风险更高,就像本例中的情况一样。目前尚不清楚为什么MAC缺陷的人感染奈瑟氏菌的可能性是普通人群的几千倍。

早期凝集素和经典途径的缺陷会导致免疫复合体不能溶解或转运到吞噬细胞,从而诱发III型超敏反应(免疫复合体疾病)(第30章)。早期补体成分缺乏可导致自身免疫性疾病系统性红斑狼疮(SLE)。

补体水平低通常是肝脏中补体成分消耗过多而不是产生减少导致的。补体在免疫复合物产生时会被消耗,例如在感染时或在自身免疫性疾病中。


Fig 20.13 患者脑脊液(CSF)革兰氏染色。正常脑脊液含有较少的中性粒细胞。此外,这张图片中的三个中性粒细胞吞噬了脑膜炎奈瑟氏菌。吞噬奈瑟氏菌的中性粒细胞突出显示


Fig 20.4 补体缺乏症的临床特征取决于哪些成分缺失

BOX 20.3 遗传性血管性水肿

20岁男子多次出现面部肿胀和不明原因的剧烈腹痛(Fig 20.15)。在一场比赛检查中发现他的补体C4水平较低,而C3是正常的。对其中一个样品进行了C1抑制因子水平的分析,发现其水平非常低,故诊断为遗传性血管性水肿,这一次他接受了纯化的C1抑制剂治疗,肿胀几个小时后就消退了。

遗传性血管性水肿是一种常染色体显性遗传性疾病,由C1抑制因子缺乏引起,C1抑制因子是一种名为丝氨酸蛋白酶抑制剂的血浆蛋白家族成员。C1抑制因子的缺乏意味着早期补体级联非常容易被激活。补体级联的激活在C3水平上停止,因为缺少合适的补体激活表面。C4和C2在激活过程中被裂解,并产生过量的C2a激肽。C1抑制因子通常也会抑制激肽原产生另一种激肽–缓激肽。在遗传性血管性水肿的患者中,补体和激肽的激活由轻微的触发因素(如创伤、感染,甚至心理压力)引起,C1抑制因子无法抑制。其结果是过量的C2a激动素和缓激肽的产生,导致所有部位的毛细血管通透性增加,引起疼痛的肿胀,有时甚至危及生命。

纯化的C1抑制因子可预防和治疗遗传性血管性水肿的发作。另一种选择是给予合成类固醇,这可以增加C1抑制因子的水平。

另一种重要的丝蛋白是α1-抗胰蛋白酶,它通常会释放吞噬细胞释放的蛋白酶。遗传α-1-抗胰蛋白酶基因异常的患者会患上肺气肿(蛋白水解酶的非对抗性作用造成的肺破坏)和肝病(由异常的α-1-抗胰蛋白酶分子积聚引起)。


Fig 20.15  病人正常外观,以及他在血管性水肿发作期间的样子

本文由Oncolab实验室微信公众号翻译整理自Immunology for Medical Students,仅用于学习交流使用,如需购买原版书籍可点击阅读原文购买。


— THE  END —


来源 | Immunology for Medical Students
翻译 |   李澄熙 张维斌 徐曼斯
编辑排版 | 钟雪莹
初审 | 宋乐 陈秋谷
终审 | 肖建勇 王坤
(转载请保留此部分内容)



▉  往期精彩内容推荐

基础免疫学系列

免疫学拾遗-第19章:免疫系统生理功能简述

免疫学拾遗-第18章:免疫系统的调节

免疫学拾遗-第17章:免疫记忆与淋巴细胞稳态

免疫学拾遗-第16章:T细胞与其他免疫细胞间的相互作用

免疫学拾遗-第15章:T细胞的发育

免疫学拾遗-第14章:B细胞的发育

免疫学拾遗-第13章:免疫系统的器官和组织

免疫学拾遗-第12章:造血功能-血细胞生成

免疫学拾遗-第11章:淋巴细胞活化

免疫学拾遗-第10章:抗原的处理和呈递

免疫学拾遗-第9章:抗原识别研究进展

免疫学拾遗-第8章:主要组织相容性复合物MHC

免疫学拾遗-第7章:T细胞受体(TCR)概述

免疫学拾遗-第6章:抗体多样性

免疫学拾遗-第5章:抗体-抗原相互作用

免疫学拾遗-第4章:抗原和抗体结构

免疫学拾遗-第3章:抗原识别

免疫学拾遗-第2章:免疫系统的基本概念和组成

免疫学拾遗-第1章:免疫系统简介

肿瘤免疫学系列

即将开始,敬请期待!

生信入门学习笔记系列

生信入门学习笔记(第7天)-210608

生信入门学习笔记(第6天)-210607

生信入门学习笔记(第5天)-210605

生信入门学习笔记(第4天)-210604

生信入门学习笔记(第3天)-210603

生信入门学习笔记(第1天)-20210531

生信入门学习笔记(第2天)-20210601

基础实验技术系列

流式检测细胞总ROS-OncoLab实验室

Annexin V/PI染色检测细胞凋亡-OncoLab实验室

免疫荧光实验-OncoLab实验室

WB操作视频-OncoLab实验室

仪器操作系列

小动物活体光学成像系统操作视频-中西医结合基础研究中心

蔡司LSM800激光共聚焦显微镜操作视频-中西医结合基础研究中心

IN Cell Analyzer2200高内涵细胞成像分析系统操作教程-中西医结合基础研究中心

BD LSR Fortessa流式-中西医结合基础研究中心

文献分享系列

肿瘤代谢重编程与免疫应答

年度巨献:神刊CA发布最新癌症数据:全球1000万人死于癌症,中国占比超3成

HLA-I分子加工和递呈抗原功能受损是免疫检查点抑制剂耐药的重要原因

PD-1/PD-L1阻断剂治疗肿瘤的研究进展与面临的挑战

Immunity:肿瘤免疫治疗的十大挑战

作图投稿选刊系列

GraphPad+AI制作可发表级别的柱状图-OncoLab实验室

如何使用ImageJ进行细胞荧光定量

如何使用Scrivener进行科技论文写作

Mendeley-最好用的文献阅读管理软件,没有之一

如何选择一个合适的杂志进行投稿?

PubMed中如何按影响因子筛选检索结果并显示影响因子及分区?

如何使用EndNote软件插入参考文献(附6813种杂志参考文献格式文件)

健康养生系列

八段锦(视频版+图片版,推荐收藏)


关注本号~


加入读者交流群~




点亮“在看”
让更多人看到!

本篇文章来源于微信公众号:OncoLab

免责声明:文章内容不代表本站立场,本站不对其内容的真实性、完整性、准确性给予任何担保、暗示和承诺,仅供读者参考,文章版权归原作者所有。如本文内容影响到您的合法权益(内容、图片等),请及时联系本站,我们会及时删除处理。

作者: oncolab

为您推荐

免疫学拾遗-第35章:肿瘤免疫学

本章介绍肿瘤免疫学相关内容,主要包括:1)遗传因素及病原体与淋巴细胞的相互作用如何导致淋巴细胞瘤;2)免疫系统如何对肿瘤...

免疫学拾遗-第1章:免疫系统简介(视频版)

本篇文章来源于微信公众号:OncoLab

免疫学拾遗视频版-第2章:免疫系统的基本概念和组成

▉往期内容 关注本号~ 加入读者交流群~ (添加请备注单位姓名) 加入知识星球~ 用于OncoLab读者交流互助永久免费...

免疫学拾遗-第36章:生物制药(本系列更新完毕)

今天是2022年12月13日,《免疫学拾遗》系列自2020年12月13日发布第一篇以来,到今天,正好是两年时间,两年间我...

免疫学拾遗-第34章:移植

本章主要介绍器官移植的生物学相关知识,以及移植排斥反应为何会使得实体器官移植和干细胞移植(SCT)变得更加困难。本章还介...

发表回复

返回顶部