首页 免疫学拾遗 免疫学拾遗-第23章:炎症与免疫

免疫学拾遗-第23章:炎症与免疫

导 读 在感染期,先天免疫系统和适应性免疫系统会发生炎症反应,通过炎症反应可以清除大多数感染。感染无法及时清除就会导致慢性炎症。肺结核和乙型肝炎是引起慢性炎症的常见原因。尽管急性和…


导 读

在感染期,先天免疫系统和适应性免疫系统会发生炎症反应,通过炎症反应可以清除大多数感染。感染无法及时清除就会导致慢性炎症。肺结核和乙型肝炎是引起慢性炎症的常见原因。尽管急性和慢性炎症是应对感染的重要反应,但同样也可能导致自身免疫性疾病的发生。


炎症的类型

炎症在临床上的表现被定义红、肿、热、痛。在组织学上,定义为液体水肿及白细胞在组织中的浸润。所涉及的白细胞类型(中性粒细胞、巨噬细胞、嗜酸性粒细胞或淋巴细胞类型)因炎症类型而异。引起炎症的原因有很多,例如:烧伤会引起急性炎症反应,这是由物理损伤引起的,但是这种损伤至少有部分是由免疫因素介导的,比如从受损组织中释放的肿瘤坏死因子(TNF)。

大多数炎症都是对感染的反应。急性感染是指持续几天的并在大多数情况下会被免疫系统清除的感染,很少会导致死亡。急性感染的例子包括流感和葡萄球菌脓肿。先天免疫系统对这些感染的清除发挥了很大的作用,尽管在这些例子中,这一系统分别得到了辅助性T细胞1(TH1)和TH17细胞的帮助。如果刺激不能迅速消除,炎症往往会变成慢性的。Fig 23.1TABLE 23.1显示了一些导致慢性或急性炎症的感染。


Table 23.1 由细胞内病原体、体表病原体和细胞外病原体引发的炎症的关键特征

胞外细菌的急性反应会导致脓液的形成。例如,皮肤上的脓疱或较大的脓肿通常是由葡萄球菌引起的。黄色痰也反映化脓性感染,它是由于肺部的感染引起的,通常是由肺炎球菌或嗜血杆菌引起的。脑膜炎奈瑟菌引起的脑膜炎是另一种类型的化脓性感染;回想一下Fig 20.13中脑脊液(CSF)样本中的中性粒细胞。在脓液和感染痰中,黄色是由中性粒细胞颗粒造成的。虽然短期内损害可能很严重,但这些感染通常会在留下最小的疤痕后痊愈。

另一方面,未能清除急性感染会导致各种慢性炎症(见Fig 23.1)。慢性的细胞内细菌感染可能导致肉芽肿的形成,即被 T 细胞包围的特化巨噬细胞的集合。这发生在结核病中(TB;由结核分枝杆菌引起的感染)。肉芽肿的形成是由TH1细胞调节的,需要2到3天的时间形成,这是因为T细胞反应需要时间。肉芽肿反应有时被称为迟发型超敏反应。结核分枝杆菌引起典型的迟发型超敏反应,如结核病皮肤测试所示(见BOX 23.1)。肉芽肿的发生需要T细胞的参与,因此具有适应性免疫的特征,例如抗原特异性和记忆性。


Fig 23.1 慢性炎症的发生取决于病原体和宿主因素

尽管有巨噬细胞和T细胞存在,但慢性病毒感染仍然会导致较为弥漫性的炎症。通常发生在乙型肝炎病毒(HBV)感染中,最初由抗病毒活动而发生急性炎症,当炎症反应消除病原体失败时会出现慢性炎症。这种慢性阶段的炎症会对宿主器官造成损害(见BOX 23.2),并由TH1细胞协同调节。

由肥大细胞介导的急性炎症以水肿为特征;当炎症持续时间较长时,嗜酸性粒细胞进入炎症组织。第22章讨论的血吸虫病是肥大细胞和嗜酸性粒细胞介导慢性炎症的一个很好的例子。这是生活在体表上的生物体的例子;这类慢性炎症是TH2细胞调节的。尽管TH17细胞在清除细胞外病原体引起的急性感染方面发挥了重要作用,但目前还没有证据表明它与人类慢性感染有关。


炎症中的细胞因子网络

细胞因子是启动急性炎症和维持慢性炎症反应所必需的,需要CD4+T细胞的协助。这些细胞因子与巨噬细胞或嗜酸性粒细胞之间的相互作用称为细胞因子网络。

巨噬细胞分泌白细胞介素-1(IL-1)、肿瘤坏死因子(TNF)和粒-巨噬细胞集落刺激因子(GM-CSF),可激活急性期反应并促进中性粒细胞和单核细胞的骨髓生成。巨噬细胞产生的TNF和IL-1增加白细胞对局部内皮的粘附。然后,这些白细胞跟随巨噬细胞产生的趋化信号。此外,巨噬细胞产生作用于T细胞的细胞因子,包括IL-1和IL-12。IL-1是T细胞通用的激活剂,与CD40等共刺激分子一起激活所有类型的T细胞。IL-12优先激活TH1和自然杀伤(NK)细胞。

作为对巨噬细胞来源的细胞因子的应答,Th1和NK细胞会分泌干扰素γ(IFN-γ)和更多的肿瘤坏死因子。

干扰素-γ的主要作用是:

1.增强巨噬细胞和其他局部细胞MHC的表达

2.通过巨噬细胞中的蛋白酶体增加抗原加工

3.诱导巨噬细胞成熟

4.提高NK细胞活性

5.抑制TH2细胞

6.引起轻微的抗病毒作用(第 20 章)。

干扰素-γ对巨噬细胞的作用是通过抗原提呈和细胞因子的产生进一步刺激Th1细胞的活性。巨噬细胞和 T 细胞之间细胞因子的交换在这两个群体之间产生了强大的正反馈环路,并使免疫反应倾向于 TH1 模式(Fig23.2


Fig 23.2细胞因子白细胞介素12(IL-12) 和干扰素γ (IFN-γ) 形成正反馈环路。肿瘤坏死因子 (TNF) 有助于肉芽肿的形成。

肿瘤坏死因子(TNF)由巨噬细胞和T细胞产生,在炎症反应的发展过程中起着许多重要作用。然而,局部高水平的肿瘤坏死因子可能会导致组织破坏等负面影响。肿瘤坏死因子还具有强大的全身性效应,如脂肪分解代谢、发烧和食欲不振,从而导致体重下降。

当吞噬细胞清除了所有残留的抗原时,反馈环路最终停止。因此,T细胞的刺激停止,IFN-γ水平下降,巨噬细胞的协同刺激作用减弱,导致T细胞凋亡。

细胞因子网络被用来控制几种细胞内感染,特别是分枝杆菌家族的细菌。分枝杆菌家族包括已经适应宿主免疫的生物(如结核分枝杆菌)到通常被称为偶发性或非典型分枝杆菌的无害生物。当细胞因子网络在各种不同的情况下失效时,偶发性分枝杆菌会导致疾病:

①很少有人会遗传IL-12、IL-12受体或干扰素-γ受体的基因突变,一旦发生这种遗传突变这些人将极易感染所有类型的分枝杆菌。

②细胞因子网络受到药物的干扰。例如,抗肿瘤坏死因子的单克隆抗体用于治疗类风湿性关节炎(第31章)。分枝杆菌感染是公认的抗肿瘤坏死因子治疗的并发症。

③艾滋病毒感染是分枝杆菌感染的常见原因,特别是在非洲。因为HIV感染并破坏T细胞和巨噬细胞,正如第33章所讨论的那样。在HIV感染的早期,当免疫缺陷不严重时,其特征是结核分枝杆菌感染。但在后来的HIV感染中,免疫缺陷更严重,机会性分枝杆菌感染是常见的。


肺结核

在20世纪末,结核病被认为得到了控制。然而,它已经重新成为对全球健康的主要威胁,现在每年200万到300万人因此死亡。

结核分枝杆菌通过结合识别分枝杆菌脂蛋白和多糖的Toll样受体(TLRs)2和4来刺激巨噬细胞。这会刺激巨噬细胞吞噬和分泌炎症介质,如IL-12和一氧化氮。巨噬细胞呈递的分枝杆菌多肽可以引起强烈的TH1反应。其中最重要的是分泌TNF和IFN-γ,在初次感染时刺激肉芽肿的形成。


Fig 23.3 A. 结核性肉芽肿的主要特征 B. 结核性肉芽肿的显微照片

分枝杆菌,如结核分枝杆菌,其蜡质层可以阻挡吞噬细胞酶的作用。它们还分泌过氧化氢酶,可防止氧化爆发的影响。因为很难杀死,巨噬细胞将分枝杆菌封闭在吞噬体内。这种封闭过程需要 T 细胞以 TH1 细胞因子(如 IFN-γ)的形式提供帮助。初次接触结核病会导致原发感染,在大多数原发性肺结核患者中,分枝杆菌生长包含在肉芽肿中(Fig 23.3)。

巨噬细胞在IFN-γ的影响下成为巨细胞和上皮样细胞。肉芽肿能很好地封闭感染的巨噬细胞,以至于肉芽肿中心偶尔会缺氧,细胞可能会坏死。坏死区类似奶酪;干酪样坏死是结核感染的标志。只有不到10%的原发性结核病患者会出现一些症状,出现广泛感染的患者则更少。在非常年轻或免疫缺陷的患者中,原发性结核病发生时不形成肉芽肿。在这些患者中,感染可能是普遍的(粟粒性结核;Fig 23.4)。


Fig 23.4 感染结核分枝杆菌可能有许多短期和长期影响

即使肺部感染得到控制,许多分枝杆菌也可能在巨噬细胞或其他细胞内存活数年,这被称为潜伏感染。BOX 23.1中描述了潜在结核感染的检测结果。矛盾的是,对原发性结核病感染反应过度产生TNF的患者可能会发展成广泛的局部组织损伤,并传染给其他人。

大约10%的患者会在原发性结核发生后再次进展,特别是在巨噬细胞功能明显受损的情况下。这通常发生在患者接受大剂量皮质类固醇治疗或存在营养不良的情况下,例如酗酒。结核病的重新激活也是艾滋病毒感染中的一个常见问题

抗体在预防或应对结核分枝杆菌方面的作用微乎其微。与乙肝感染不同,预先存在的抗体不能预防结核病感染。在已确定的结核分枝杆菌感染中,分枝杆菌寄居在细胞内,不容易受到抗体介导的破坏。


乙型肝炎感染

乙型肝炎感染是一个主要的全球健康问题,全世界有3.5亿人感染乙型肝炎病毒。病毒引起肝炎通常会导致肝硬化和肝癌。HBV只在肝细胞中复制,但不会直接损害这些细胞,该病毒并非细胞病变。

对 HBV 的免疫反应在两个阶段非常重要。如果病毒第一次进入血液时存在针对乙肝病毒表面蛋白(HBsAg)的抗体,抗体可以与病毒结合,防止病毒附着在肝细胞上。因此,抗HBsAg可以预防感染;这类抗体通常是接种疫苗的结果。乙肝疫苗接种在BOX 17.1有过讨论,并将在第25章进一步解释。如BOX 4.2所述,在已知暴露于 HBV 后,也可以给予抗 HBsAg 抗体作为被动免疫。

一旦HBV在肝脏中活跃复制,抗体就变得不如TH1细胞介导的细胞免疫那么重要。在已确定的感染中,抗体在一定程度上控制了乙肝病毒,因为阻止抗体产生的药物或疾病可能会导致乙肝病毒复制的爆发。在已确定的疾病中,抗体在诊断中起着重要作用(BOX 23.2;另见BOX 6.1)

细胞免疫对于没有保护性抗体并且病毒已经在肝细胞中复制的人很重要。HBV对干扰素的抗病毒作用很敏感,如第20章所述。在乙肝感染期间,特异性免疫系统以 TH1 型反应对感染作出反应,正如病毒感染时所预期的那样,乙肝病毒特异性CD4+和CD8+T细胞迁移到肝脏。这些细胞分泌IFN-γ和TNF等促进炎症反应的细胞因子,并且有证据表明IFN-γ的抗病毒作用可以抑制病毒复制。几乎所有受感染的患者都会发展成短暂性肝炎,不到 1% 会危及生命(见BOX 6.1)。然而,大多数感染者(80%到90%)通过IFN-γ的抗病毒作用抑制了病毒复制。与I型干扰素不同,IFN-γ对炎症有很强的刺激作用,并且会产生轻微的炎症反应,在此期间,一些肝细胞受到免疫反应的损害,导致急性肝炎。在大多数患者中,病毒复制后得到控制。虽然病毒没有被根除,但持续的 T 细胞反应足以最大限度地减少病毒复制,例如,患者不再将病毒传染给其他人(Fig 23.5)。


Fig 23.5 乙肝病毒感染的转归取决于免疫因素

在大约10%至20%的感染者中,病毒无法通过这些手段清除。当病毒的初始量特别大时,就会发生这种情况或者当一个人在很小的时候就接触到病毒时,更有可能无法清除病毒而产生耐受。宿主因素,如人类白细胞抗原(HLA)类型,可能导致无法清除病毒的风险。在这些个体中,炎症反应持续存在,尽管它不能完全抑制病毒复制。与肺结核不同,慢性乙肝感染不会产生肉芽肿。在乙型肝炎患者中,IFN-γ的产生是一把双刃剑,既能抑制病毒复制,但也会促进慢性炎症反应,导致慢性活动性肝炎。NK细胞、巨噬细胞和T细胞的募集甚至不是针对HBV特异性的,最终导致门静脉内的慢性炎症。由此造成的组织破坏导致疤痕,从而导致肝硬化,并通过未知的机制为肝癌奠定基础。在这些人身上,炎症是过度的,因为它造成的损害大于益处。

感染乙肝病毒并成功抑制病毒复制的人在许多方面受到损害。例如,在后面的章节我们会讲到B细胞或TNF的单克隆抗体是如何用于治疗某些疾病的。但是这两种抗体都能重新激活乙肝感染。因此,在用这些抗体治疗之前,检查患者是否有HBV潜伏感染是很重要的。


“过度”的炎症

在炎症过程中,肉芽肿的形成和细胞因子可能有负面影响。TNF的一些负面作用已经被提到,比如减轻体重。过度炎症反应的一个具体例子是结核分枝杆菌反应时肺内过度形成肉芽肿。肉芽肿中心的供血较差并且中央部分可能死亡,然后病人将其咳出来。咳出坏死的东西时就会产生肺腔。同时,咳出的坏死物质可使其中所含的分枝杆菌在人与人之间传播,被称为开放性结核病。另一种过度反应发生在免疫系统导致乙肝患者纤维化和肝硬化,这种反应称为超敏反应。

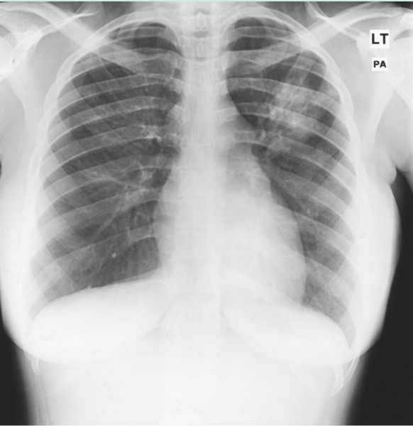
BOX 23.1 爆发在监狱中的结核病

结核病(TB)在监狱囚犯中常见。一名囚犯出现结核病症状后,感染控制小组进入监狱。囚犯咳嗽,体重减轻,出汗。胸片显示正常组织破坏,提示肺结核(Fig 23.6)。

Fig 23.6 胸片显示了肺结核的典型改变,这些改变往往会影响到肺尖。左肺上部的混浊清晰可见。


她的痰培养结果呈结核分枝杆菌阳性,证实了诊断结果。患者被转移到监狱医院接受治疗,并防止她感染其他患者。

在她服刑期间,她与其他36名囚犯共用一间牢房。需要对这些囚犯是否感染结核病进行筛查。由于胸片和痰培养对早期结核病感染不敏感,结核分枝杆菌免疫力测试被用于筛查 “开放性结核病”患者的个体。潜伏性结核病的检测是在监狱里进行的,在这种情况下,36名囚犯中有4名显示出潜伏性结核病的证据,并接受了抗生素的联合治疗。

与乙肝和许多其他感染不同,抗体检测不用于诊断结核分枝杆菌的潜伏感染。这在很大程度上是因为人类都会产生针对生活在环境中的无害分枝杆菌的抗体,而这些抗体很难与那些针对结核分枝杆菌的抗体区分开来。潜伏结核病的抗体检测是如此不可靠,以至于世界卫生组织采取了不同寻常的步骤,禁止了这类检测。

这两种检测方法安全地用于检测潜伏性结核病,都能评估对结核病的细胞免疫力,意味着要么暴露于结核病本身,要么意味着患者已经接种了疫苗。这些检测最常用于筛查接触过开放性结核病患者。较老的测试是一种皮肤测试,依赖于迟发型过敏反应。皮肤测试正逐渐被血液测试所取代,该测试测量分枝杆菌抗原产生的干扰素γ(IFN-γ)的分泌(Fig 23.7)。

Fig 23.7 结核病暴露的血液检测中,结核分枝杆菌多肽加入血液培养12 h,酶联免疫吸附试验测定IFN-γ的产量


IFN-γ释放试验依赖于血液中循环的效应性T细胞的存在,在潜伏结核患者加入抗原后24 h内,效应性T细胞能够分泌IFN-γ。迟发型过敏皮肤测试是通过皮内注射结核菌素进行的,结核菌素是一种来自结核分枝杆菌的蛋白质和脂蛋白的无菌混合物,取决于使用的注射技术的类型。当真皮巨噬细胞上的Toll样受体(TLRs)识别分枝杆菌并相应地分泌肿瘤坏死因子(TNF)和趋化因子时,该反应就开始了,这两种因子增加了局部内皮粘附分子的表达(Fig 23.8)。

Fig 23.8 注射结核菌素后的反应。48 h后,巨噬细胞和T细胞在真皮中聚集。TNF, 肿瘤坏死因子。


同时,树突状细胞从注射部位迁移到引流淋巴结。移行的树突状细胞装载有分枝杆菌抗原,如果有足够数量的初始应答,这些抗原可以被呈递给引流淋巴结中的T细胞。记住,在获得免疫记忆的过程中,特定抗原的T细胞数量会增加。激活的T细胞迁移到注射部位,并与局部激活的巨噬细胞相互作用。巨噬细胞也会在T细胞分泌的细胞因子的作用下积累和成熟。当在48 h内产生强烈反应(Fig 23.9)时,皮损中80%以上的细胞是活化的巨噬细胞。

Fig 23.9 Box 23-1中描述的其中一名囚犯的结核菌素皮肤试验呈阳性


延迟超敏反应皮肤测试的成本很低,因为它不需要实验室测试来测量IFN-γ。然而,在接触结核病或接种结核病疫苗后,皮试结果将呈阳性。免疫球蛋白A血液检测在接种疫苗后不会产生阳性结果,因此在常规接种结核病疫苗的国家更有用。

BOX 23.2慢性乙型肝炎感染

Box 6.1中,1名女性被诊断感染乙型肝炎病毒(HBV)。虽然她最初感到不适,但她之后感觉好了起来。病毒DNA和乙型肝炎表面抗原(HBsAg)水平下降(见Fig 6.8c)。这表明她已经进入了乙肝感染的免疫控制阶段,没有损害到她的肝脏。

然而,9年后,她又开始感到不舒服。肝功能测试异常,她的血液中再次出现了HBV病毒DNA和HBsAg。于是对她进行了肝脏超声扫描,没有发现肝癌的证据,肝癌是HBV感染的最严重的并发症。肝脏活检显示弥漫性炎性浸润,主要是T细胞。也有早期肝瘢痕形成的证据,称为纤维化或肝硬化。

总而言之,这些测试表明病毒复制是活跃的,不受她的免疫反应的控制。此外,她的免疫反应正在对肝脏造成损害。如果病毒发生变异,病毒多肽的氨基酸序列发生变化,使其能够逃避免疫系统,就会使她的肝脏受到破坏。

Fig 23.10显示了可用于预防或治疗HBV感染的治疗方法。医生决定开始使用干扰素-α治疗抑制病毒复制,但不增加免疫激活或炎症。IFN-α是一种I型干扰素,其抗病毒作用比免疫刺激作用更强(第20章)。干扰素γ(IFN-γ)促炎作用比抗病毒作用更强,在这种情况下发挥负面影响。

Fig 23.10 乙肝病毒感染可通过多种方式预防或治疗。

本文由Oncolab实验室微信公众号翻译整理自Immunology for Medical Students,仅用于学习交流使用,如需购买原版书籍可点击阅读原文购买。


— THE  END —


来源 | Immunology for Medical Students
翻译 |   蒋俊博  陈晓意
编辑排版 | 蒋俊博
初审 | 陈秋谷 宋乐
终审 | 王坤 肖建勇
(转载请保留此部分内容)


▉  往期精彩内容推荐

肿瘤免疫学系列

肿瘤免疫学-第2章:人类肿瘤微环境(下)

肿瘤免疫学-第2章:人类肿瘤微环境(上)

肿瘤免疫学-第1章:肿瘤免疫简史

基础免疫学系列

免疫学拾遗-第22章:免疫系统的杀伤功能

免疫学拾遗-第21章:吞噬细胞

免疫学拾遗-第20章:固有免疫的防御作用

免疫学拾遗-第19章:免疫系统生理功能简述

免疫学拾遗-第18章:免疫系统的调节

免疫学拾遗-第17章:免疫记忆与淋巴细胞稳态

免疫学拾遗-第16章:T细胞与其他免疫细胞间的相互作用

免疫学拾遗-第15章:T细胞的发育

免疫学拾遗-第14章:B细胞的发育

免疫学拾遗-第13章:免疫系统的器官和组织

免疫学拾遗-第12章:造血功能-血细胞生成

免疫学拾遗-第11章:淋巴细胞活化

免疫学拾遗-第10章:抗原的处理和呈递

免疫学拾遗-第9章:抗原识别研究进展

免疫学拾遗-第8章:主要组织相容性复合物MHC

免疫学拾遗-第7章:T细胞受体(TCR)概述

免疫学拾遗-第6章:抗体多样性

免疫学拾遗-第5章:抗体-抗原相互作用

免疫学拾遗-第4章:抗原和抗体结构

免疫学拾遗-第3章:抗原识别

免疫学拾遗-第2章:免疫系统的基本概念和组成

免疫学拾遗-第1章:免疫系统简介

生信入门学习笔记系列

生信入门学习笔记(第7天)-210608

生信入门学习笔记(第6天)-210607

生信入门学习笔记(第5天)-210605

生信入门学习笔记(第4天)-210604

生信入门学习笔记(第3天)-210603

生信入门学习笔记(第2天)-20210601

生信入门学习笔记(第1天)-20210531

基础实验技术系列

流式检测细胞总ROS-OncoLab实验室

Annexin V/PI染色检测细胞凋亡-OncoLab实验室

免疫荧光实验-OncoLab实验室

WB操作视频-OncoLab实验室

QPCR实验操作视频-OncoLab实验室

仪器操作系列

小动物活体光学成像系统操作视频-中西医结合基础研究中心

蔡司LSM800激光共聚焦显微镜操作视频-中西医结合基础研究中心

IN Cell Analyzer2200高内涵细胞成像分析系统操作教程-中西医结合基础研究中心

BD LSR Fortessa流式-中西医结合基础研究中心

文献分享系列

肿瘤代谢重编程与免疫应答

年度巨献:神刊CA发布最新癌症数据:全球1000万人死于癌症,中国占比超3成

HLA-I分子加工和递呈抗原功能受损是免疫检查点抑制剂耐药的重要原因

PD-1/PD-L1阻断剂治疗肿瘤的研究进展与面临的挑战

Immunity:肿瘤免疫治疗的十大挑战

作图投稿选刊系列

GraphPad+AI制作可发表级别的柱状图-OncoLab实验室

如何使用ImageJ进行细胞荧光定量

如何使用Scrivener进行科技论文写作

Mendeley-最好用的文献阅读管理软件,没有之一

如何选择一个合适的杂志进行投稿?

PubMed中如何按影响因子筛选检索结果并显示影响因子及分区?

如何使用EndNote软件插入参考文献(附6813种杂志参考文献格式文件)


关注本号~


加入读者交流群~




点亮“在看”
让更多人看到!

本篇文章来源于微信公众号:OncoLab

免责声明:文章内容不代表本站立场,本站不对其内容的真实性、完整性、准确性给予任何担保、暗示和承诺,仅供读者参考,文章版权归原作者所有。如本文内容影响到您的合法权益(内容、图片等),请及时联系本站,我们会及时删除处理。

作者: oncolab

为您推荐

免疫学拾遗-第35章:肿瘤免疫学

本章介绍肿瘤免疫学相关内容,主要包括:1)遗传因素及病原体与淋巴细胞的相互作用如何导致淋巴细胞瘤;2)免疫系统如何对肿瘤...

免疫学拾遗-第1章:免疫系统简介(视频版)

本篇文章来源于微信公众号:OncoLab

免疫学拾遗视频版-第2章:免疫系统的基本概念和组成

▉往期内容 关注本号~ 加入读者交流群~ (添加请备注单位姓名) 加入知识星球~ 用于OncoLab读者交流互助永久免费...

免疫学拾遗-第36章:生物制药(本系列更新完毕)

今天是2022年12月13日,《免疫学拾遗》系列自2020年12月13日发布第一篇以来,到今天,正好是两年时间,两年间我...

免疫学拾遗-第34章:移植

本章主要介绍器官移植的生物学相关知识,以及移植排斥反应为何会使得实体器官移植和干细胞移植(SCT)变得更加困难。本章还介...

发表回复

返回顶部